电脑桌面
添加蜗牛文库到电脑桌面
安装后可以在桌面快捷访问

2022年医学专题—慢性肺源性心脏病.pptVIP免费

2022年医学专题—慢性肺源性心脏病.ppt2022年医学专题—慢性肺源性心脏病.ppt2022年医学专题—慢性肺源性心脏病.ppt2022年医学专题—慢性肺源性心脏病.ppt2022年医学专题—慢性肺源性心脏病.ppt
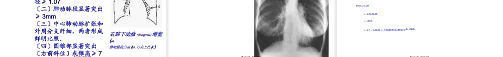
第五章呼吸系统(hūxīxìtǒnɡ)疾病第五节第一页,共三十九页。病因(bìngyīn)发病(fābìng)机制预后(yùhòu)临床表现实验室及其他检查诊断及鉴别诊断治疗概述慢性肺源性心脏病第二页,共三十九页。慢性(mànxìng)肺源性心脏病定义(dìngyì):由于肺组织、肺动脉血管或胸廓的慢性病变引起肺组织结构和功能异常,产生肺循环阻力增加,肺动脉高压,使右心室肥厚、扩大,伴或不伴右心衰竭的心脏病。第三页,共三十九页。慢性肺脏疾病肺动脉高压右心肥厚、扩大,右心衰竭慢性(mànxìng)肺源性心脏病第四页,共三十九页。慢性(mànxìng)肺源性心脏病患病年龄多在40岁以上,随年龄增长患病率增高。发病率为4.42‰,占≥15岁人群的6.72‰。北方>南方,农村>城市,吸烟者>不吸烟者,男女(nánnǚ)无差异。急性发作以冬、春季多见,气候急骤变化致急性呼吸道感染常为急性发作的诱因,常导致肺、心功能衰竭,病死率较高。占住院心脏病的46%-38.5%。流行病学:返回第五页,共三十九页。慢性(mànxìng)肺源性心脏病三大病因:一、支气管--肺疾病二、胸廓(xiōngkuò)运动障碍性疾病三、肺血管疾病及其他返回第六页,共三十九页。慢性(mànxìng)肺源性心脏病肺动脉高压形成缺氧性肺小动脉痉挛高碳酸血症的作用肺血管床面积减少血液流变学异常及血容量增加心脏负荷增加,心肌受损多脏器(zānqì)ɡ损害第七页,共三十九页。慢性(mànxìng)肺源性心脏病〔一〕缺氧性肺小动脉痉挛:缺氧平滑肌细胞膜对Ca2+通透性增加,细胞内Ca2+含量增高肌肉兴奋--收缩偶联效应增强(zēngqiáng)肺血管收缩ATP依赖性K+通道开放一、肺动脉高压形成第八页,共三十九页。慢性(mànxìng)肺源性心脏病〔二〕高碳酸血症的作用:高碳酸血症时,H+过多,使血管对缺氧收缩(shōusuō)敏感性增强。一、肺动脉高压形成第九页,共三十九页。慢性(mànxìng)肺源性心脏病〔三〕肺血管床面积减少:反复炎症使肺细小动脉狭窄、纤维化肺气肿压迫肺泡毛细血管(máoxìxuèuǎn)ɡ肺泡壁破裂后毛细血管网受损肺血管收缩和肺血管的重构一、肺动脉高压形成第十页,共三十九页。肺动脉高压(gāoyā)引起肺小动脉壁闭塞第十一页,共三十九页。慢性(mànxìng)肺源性心脏病〔四〕血液流变学异常及血容量(róngliàng)增加一、肺动脉高压形成第十二页,共三十九页。慢性(mànxìng)肺源性心脏病•肺动脉持续高压→右心肥厚;急性感染、病情开展使肺动脉压力继续增高→右心失代偿:右心扩...

1、当您付费下载文档后,您只拥有了使用权限,并不意味着购买了版权,文档只能用于自身使用,不得用于其他商业用途(如 [转卖]进行直接盈利或[编辑后售卖]进行间接盈利)。
2、本站所有内容均由合作方或网友上传,本站不对文档的完整性、权威性及其观点立场正确性做任何保证或承诺!文档内容仅供研究参考,付费前请自行鉴别。
3、如文档内容存在违规,或者侵犯商业秘密、侵犯著作权等,请点击“违规举报”。

碎片内容

蜗牛文库的最新文档

二年级数学下册其中检测卷二年级数学下册其中检测卷附答案#期中测试卷.pdf
10.00金币
0下载
二年级数学下册期末质检卷(苏教版)二年级数学下册期末质检卷(苏教版)#期末复习 #期末测试卷 #二年级数学 #二年级数学下册#关注我持续更新小学知识.pdf
10.00金币
0下载
二年级数学下册期末混合运算专项练习二年级数学下册期末混合运算专项练习#二年级#二年级数学下册#关注我持续更新小学知识 #知识分享 #家长收藏孩子受益.pdf
10.00金币
1下载
二年级数学下册年月日三类周期问题解题方法二年级数学下册年月日三类周期问题解题方法#二年级#二年级数学下册#知识分享 #关注我持续更新小学知识 #家长收藏孩子受益.pdf
10.00金币
0下载
二年级数学下册解决问题专项训练二年级数学下册解决问题专项训练#专项训练#解决问题#二年级#二年级数学下册#知识分享.pdf
10.00金币
1下载
二年级数学下册还原问题二年级数学下册还原问题#二年级#二年级数学#关注我持续更新小学知识 #知识分享 #家长收藏孩子受益.pdf
10.00金币
1下载
二年级数学下册第六单元考试卷家长打印出来给孩子测试测试争取拿到高分!#小学二年级试卷分享 #二年级第六单考试数学 #第六单考试#二年级数学下册.pdf
10.00金币
0下载
二年级数学下册必背顺口溜口诀汇总二年级数学下册必背顺口溜口诀汇总#二年级#二年级数学下册 #知识分享 #家长收藏孩子受益 #关注我持续更新小学知识.pdf
10.00金币
0下载
二年级数学下册《重点难点思维题》两大问题解决技巧和方法巧算星期几解决周期问题还原问题强化思维训练老师精心整理家长可以打印出来给孩子练习#家长收藏孩子受益 #学霸秘籍 #思维训练 #二年级 #知识点总结.pdf
10.00金币
0下载
二年级数学下册 必背公式大全寒假提前背一背开学更轻松#二年级 #二年级数学 #二年级数学下册 #寒假充电计划 #公式.pdf
10.00金币
0下载
蜗牛文库+ 关注
实名认证
内容提供者

提供各种专业文档内容

确认删除?
QQ
  • QQ点击这里给我发消息
微信客服
  • 微信客服
回到顶部