电脑桌面
添加蜗牛文库到电脑桌面
安装后可以在桌面快捷访问

2022年医学专题—细胞和组织的适应与损伤-2.pptVIP免费

2022年医学专题—细胞和组织的适应与损伤-2.ppt2022年医学专题—细胞和组织的适应与损伤-2.ppt2022年医学专题—细胞和组织的适应与损伤-2.ppt2022年医学专题—细胞和组织的适应与损伤-2.ppt2022年医学专题—细胞和组织的适应与损伤-2.ppt
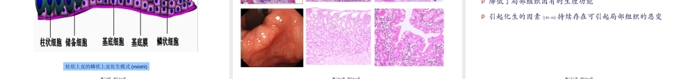
第一页,共九十一页。第一章细胞和组织(zǔzhī)的适应与损伤第二页,共九十一页。提要(tíyào)适应细胞和组织损伤(sǔnshāng):细胞可逆性损伤(sǔnshāng)(变性)细胞死亡修复第三页,共九十一页。p萎缩p肥大(féidà)p增生p化生适应(shìyìng)(Adaptation)细胞和由其构成的组织、器官对于内、外环境(huánjìng)中的持续性刺激和各种有害因子而产生的非损伤性应答反应第四页,共九十一页。已发育(fāyù)正常的细胞、组织或器官的体积缩小适应(shìyìng)—萎缩(Atrophy)p实质细胞因细胞内物质丧失而致体积缩小p同时伴有实质细胞数量的减少p组织器官未曾发育(fāyù)或发育(fāyù)不全不属于萎缩范畴第五页,共九十一页。类型(lèixíng):p生理性萎缩p病理性萎缩适应(shìyìng)—萎缩营养不良性萎缩压迫性萎缩失用性萎缩去神经性萎缩内分泌性萎缩老化(lǎohuà)和损伤性萎缩第六页,共九十一页。肉眼:p肝、脾等脏器,可见器官和组织体积变小、重量减轻(jiǎnqīng)、颜色变深、质地变韧、边缘变锐、包膜增厚、皱缩p脑体积缩小、脑回变窄、脑沟加深、重量减轻适应(shìyìng)—萎缩脑压迫(yāpò)性萎缩肾压迫性萎缩心脏萎缩第七页,共九十一页。适应(shìyìng)—萎缩第八页,共九十一页。适应(shìyìng)—萎缩心脏萎缩、正常(zhèngcháng)、肥大第九页,共九十一页。适应(shìyìng)—萎缩第十页,共九十一页。由于功能增加,合成代谢旺盛,使细胞、组织(zǔzhī)或器官体积增大适应(shìyìng)—肥大(Hypertropy)类型(lèixíng):p生理性肥大p病理性肥大代偿性肥大内分泌性肥大代偿性肥大内分泌性肥大第十一页,共九十一页。病理变化:肥大的细胞体积增大,细胞核肥大深染,肥大组织与器官(qìguān)体积均匀增大适应(shìyìng)—肥大第十二页,共九十一页。适应(shìyìng)—肥大第十三页,共九十一页。细胞有丝分裂(yǒusīfēnliè)活跃而致组织或器官内细胞数目增多的现象适应(shìyìng)—增生(Hyperplasia)类型(lèixíng):p生理性增生p病理性增生代偿性增生内分泌性增生代偿性增生内分泌性增生第十四页,共九十一页。适应(shìyìng)—肥大第十五页,共九十一页。增生(zēngshēng)和肥大的关系:p尽管增生和肥大是两种不同的病理过程,但病因相似,故常相伴存在p细胞本身的增殖特性,决定其是单纯性肥大还是伴有增生p增殖活跃的组织肥大和增生两者多同时存在,增殖能力较低的组织仅因细胞的肥大造成组织和器官的肥...

1、当您付费下载文档后,您只拥有了使用权限,并不意味着购买了版权,文档只能用于自身使用,不得用于其他商业用途(如 [转卖]进行直接盈利或[编辑后售卖]进行间接盈利)。
2、本站所有内容均由合作方或网友上传,本站不对文档的完整性、权威性及其观点立场正确性做任何保证或承诺!文档内容仅供研究参考,付费前请自行鉴别。
3、如文档内容存在违规,或者侵犯商业秘密、侵犯著作权等,请点击“违规举报”。

碎片内容

蜗牛文库的最新文档

二年级数学下册其中检测卷二年级数学下册其中检测卷附答案#期中测试卷.pdf
10.00金币
0下载
二年级数学下册期末质检卷(苏教版)二年级数学下册期末质检卷(苏教版)#期末复习 #期末测试卷 #二年级数学 #二年级数学下册#关注我持续更新小学知识.pdf
10.00金币
0下载
二年级数学下册期末混合运算专项练习二年级数学下册期末混合运算专项练习#二年级#二年级数学下册#关注我持续更新小学知识 #知识分享 #家长收藏孩子受益.pdf
10.00金币
1下载
二年级数学下册年月日三类周期问题解题方法二年级数学下册年月日三类周期问题解题方法#二年级#二年级数学下册#知识分享 #关注我持续更新小学知识 #家长收藏孩子受益.pdf
10.00金币
0下载
二年级数学下册解决问题专项训练二年级数学下册解决问题专项训练#专项训练#解决问题#二年级#二年级数学下册#知识分享.pdf
10.00金币
1下载
二年级数学下册还原问题二年级数学下册还原问题#二年级#二年级数学#关注我持续更新小学知识 #知识分享 #家长收藏孩子受益.pdf
10.00金币
1下载
二年级数学下册第六单元考试卷家长打印出来给孩子测试测试争取拿到高分!#小学二年级试卷分享 #二年级第六单考试数学 #第六单考试#二年级数学下册.pdf
10.00金币
0下载
二年级数学下册必背顺口溜口诀汇总二年级数学下册必背顺口溜口诀汇总#二年级#二年级数学下册 #知识分享 #家长收藏孩子受益 #关注我持续更新小学知识.pdf
10.00金币
0下载
二年级数学下册《重点难点思维题》两大问题解决技巧和方法巧算星期几解决周期问题还原问题强化思维训练老师精心整理家长可以打印出来给孩子练习#家长收藏孩子受益 #学霸秘籍 #思维训练 #二年级 #知识点总结.pdf
10.00金币
0下载
二年级数学下册 必背公式大全寒假提前背一背开学更轻松#二年级 #二年级数学 #二年级数学下册 #寒假充电计划 #公式.pdf
10.00金币
0下载
蜗牛文库+ 关注
实名认证
内容提供者

提供各种专业文档内容

确认删除?
QQ
  • QQ点击这里给我发消息
微信客服
  • 微信客服
回到顶部