电脑桌面
添加蜗牛文库到电脑桌面
安装后可以在桌面快捷访问

2022年医学专题—肺段ct(1).pptVIP免费

2022年医学专题—肺段ct(1).ppt2022年医学专题—肺段ct(1).ppt2022年医学专题—肺段ct(1).ppt2022年医学专题—肺段ct(1).ppt2022年医学专题—肺段ct(1).ppt
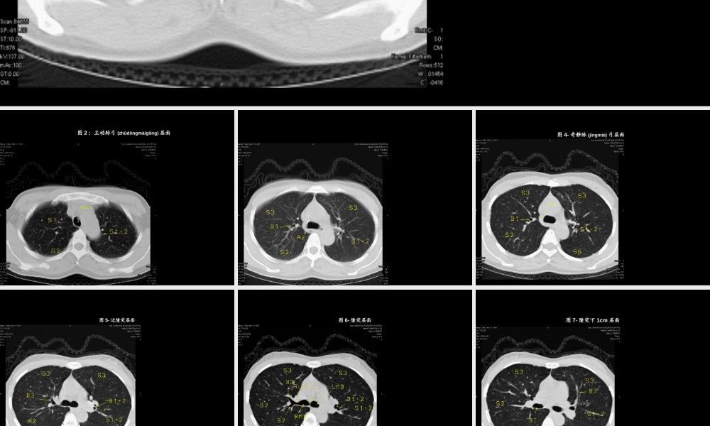
图1-16:正常胸部断层(duàncéng),图1-胸锁关节(guānjié)层面第一页,共八十一页。图2:主动脉弓(zhǔdòngmàigōng)层面ARCH:主动脉弓(zhǔdòngmàigōng)第二页,共八十一页。Az:奇静脉(jìngmài)弓B1:上叶尖段支气管S3:上叶前段图3-主肺动脉窗层面第三页,共八十一页。图4-奇静脉(jìngmài)弓层面S6:下叶背段第四页,共八十一页。图5-近隆突层面B1+2:左上叶尖后段支气管B3:上叶前段支气管第五页,共八十一页。图6-隆突层面第六页,共八十一页。图7-隆突下1cm层面Bi:中间(zhōngjiān)支气管第七页,共八十一页。图8-隆突下1cm层面LUMB:左上叶支气管第八页,共八十一页。图9-隆突下2cm层面V3:上叶前段静脉(jìngmài)的段间支第九页,共八十一页。图10-隆突下2cm层面S4:右中叶(zhōngyè)外段/左舌上段第十页,共八十一页。图11-隆突下3cm层面B4:右中叶(zhōngyè)外侧段/左舌上段支气管第十一页,共八十一页。图12-隆突下3cm层面B6段第十二页,共八十一页。图13-隆突下3cm层面第十三页,共八十一页。图14-近心底(xīndǐ)层面5右侧段/段第十四页,共八十一页。图15-近心底(xīndǐ)层面B7+8:下叶前内段支气管第十五页,共八十一页。图16-近心底(xīndǐ)层面B段第十六页,共八十一页。图17-锁骨(suǒgǔ)上和斜角肌组淋巴结应扫描从锁上膈上锁上和斜第十七页,共八十一页。图18-1R/L组淋巴结肺臂静脉横入右臂静第十八页,共八十一页。图19-1R/L组淋巴结第十九页,共八十一页。图20-1R/L、3A/P组淋巴结肺动脉上缘层前组组第二十页,共八十一页。图21-2R/L组淋巴结侧淋右/第二十一页,共八十一页。图22-4R、6组淋巴结位于主动脉弓(zhǔdòngmàigōng)上缘以下主动脉、主动脉弓前方及两侧的淋巴结-为升主动脉旁组(6组)第二十二页,共八十一页。图23-4R/L、6组淋巴结还可静脉界将右侧4组第二十三页,共八十一页。图24-4R/L、5、6组淋巴结淋-动脉或第二十四页,共八十一页。图25-7组淋巴结组第二十五页,共八十一页。图26-7、10R组淋巴结淋-右/肺组第二十六页,共八十一页。图27-8、10R/L组淋巴结右/8R/L组第二十七页,共八十一页。图28-9、11R组淋巴结肺静脉周淋第二十八页,共八十一页。图29-12、13、14R/L组淋巴结邻近各肺段淋第二十九页,共八十一页。图30-肺间质病变(bìngbiàn)常规(chángguī)或标准CT扫描、重建第三十页,共八十一页。图31-肺间质病变(bìngbiàn)建第三十一页,共八十一页。图32-肺间质病变(bìngb...

1、当您付费下载文档后,您只拥有了使用权限,并不意味着购买了版权,文档只能用于自身使用,不得用于其他商业用途(如 [转卖]进行直接盈利或[编辑后售卖]进行间接盈利)。
2、本站所有内容均由合作方或网友上传,本站不对文档的完整性、权威性及其观点立场正确性做任何保证或承诺!文档内容仅供研究参考,付费前请自行鉴别。
3、如文档内容存在违规,或者侵犯商业秘密、侵犯著作权等,请点击“违规举报”。

碎片内容

蜗牛文库的最新文档

二年级数学下册其中检测卷二年级数学下册其中检测卷附答案#期中测试卷.pdf
10.00金币
0下载
二年级数学下册期末质检卷(苏教版)二年级数学下册期末质检卷(苏教版)#期末复习 #期末测试卷 #二年级数学 #二年级数学下册#关注我持续更新小学知识.pdf
10.00金币
0下载
二年级数学下册期末混合运算专项练习二年级数学下册期末混合运算专项练习#二年级#二年级数学下册#关注我持续更新小学知识 #知识分享 #家长收藏孩子受益.pdf
10.00金币
1下载
二年级数学下册年月日三类周期问题解题方法二年级数学下册年月日三类周期问题解题方法#二年级#二年级数学下册#知识分享 #关注我持续更新小学知识 #家长收藏孩子受益.pdf
10.00金币
0下载
二年级数学下册解决问题专项训练二年级数学下册解决问题专项训练#专项训练#解决问题#二年级#二年级数学下册#知识分享.pdf
10.00金币
1下载
二年级数学下册还原问题二年级数学下册还原问题#二年级#二年级数学#关注我持续更新小学知识 #知识分享 #家长收藏孩子受益.pdf
10.00金币
1下载
二年级数学下册第六单元考试卷家长打印出来给孩子测试测试争取拿到高分!#小学二年级试卷分享 #二年级第六单考试数学 #第六单考试#二年级数学下册.pdf
10.00金币
0下载
二年级数学下册必背顺口溜口诀汇总二年级数学下册必背顺口溜口诀汇总#二年级#二年级数学下册 #知识分享 #家长收藏孩子受益 #关注我持续更新小学知识.pdf
10.00金币
0下载
二年级数学下册《重点难点思维题》两大问题解决技巧和方法巧算星期几解决周期问题还原问题强化思维训练老师精心整理家长可以打印出来给孩子练习#家长收藏孩子受益 #学霸秘籍 #思维训练 #二年级 #知识点总结.pdf
10.00金币
0下载
二年级数学下册 必背公式大全寒假提前背一背开学更轻松#二年级 #二年级数学 #二年级数学下册 #寒假充电计划 #公式.pdf
10.00金币
0下载
蜗牛文库+ 关注
实名认证
内容提供者

提供各种专业文档内容

确认删除?
QQ
  • QQ点击这里给我发消息
微信客服
  • 微信客服
回到顶部