电脑桌面
添加蜗牛文库到电脑桌面
安装后可以在桌面快捷访问

血细胞学检查.pptVIP免费

血细胞学检查.ppt血细胞学检查.ppt血细胞学检查.ppt血细胞学检查.ppt血细胞学检查.ppt
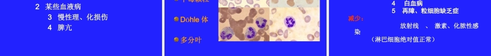
血细胞学检查冯建飞何谓血细胞学?涉及造血器官、血细胞发生、造血调节等医学基础理论和各种血液病的临床及其形态学诊断技术为主要研究对象的科学。现代血细胞学:造血干祖细胞检测、免疫细胞化学染色、细胞遗传学和分子生物学、细胞的超微结构、自动化血细胞分析技术、流式细胞术等。血液细胞检验血液:血细胞(有形成分)和血浆(无形成分)血浆占55%,血细胞占45%。17世纪荷兰布商列文虎克发明显微镜造血系统疾病,除直接累及血液外,常可影响全身组织器官。反之,各组织器官的病变也可直接或间接引起血液发生相应的变化。血细胞染色方法1.瑞氏(Wright)染色酸性伊红和碱性亚甲蓝组成2.吉姆萨(Giemsa)染色天青和伊红组成人体造血组织1骨组织2淋巴组织3脾脏造血细胞发育规律1粒细胞系统2红细胞系统3巨核细胞系统4单核网状细胞系统各种红细胞形态1环形红细胞2嗜多色性红细胞3大红细胞红细胞和血红蛋白病理性变化(1)增多:A相对增多:血浆水分丢失,暂时性呕吐、腹泻、烧伤等。B绝对增多:气体交换受影响慢性肺心、先心。C造血系统增殖性疾病:真性红细胞增多症。红细胞和血红蛋白病理性变化(2)减少:病因分类:造血不良(RBC,Hb)破坏过度(红细胞内,红细胞外)失血各种红细胞形态1球形红细胞2椭圆形红细胞3口形红细胞4棘形红细胞各种红细胞形态1有核红细胞2卡波氏环3豪乔氏小体各种红细胞形态1靶形红细胞2正常红细胞3环形红细胞4淡染红细胞正常和异常红细胞扫描电镜下红细胞形态网织红细胞(Ret)定义:晚幼红细胞和成熟红细胞之间(残留RNA)临床意义:1骨髓红细胞系统造血情况2疗效观察指标各种网织红细胞ABC网织红细胞环形红细胞环形红细胞白细胞计数和分类生理变化:1年龄2日间3妊娠与分娩白细胞计数和分类粒细胞病理变化:增多:1急性感染2组织损伤或血细胞破坏(蛋白分解物及相对缺氧)3大出血4急性中毒5肿瘤性增多白细胞计数和分类减少:1感染(G–杆菌伤寒、副伤寒、病毒)2某些血液病3慢性理、化损伤4脾亢中性粒细胞形态异常中性粒细胞形态异常空泡形成中毒颗粒DÖhle体多分叶白细胞计数和分类淋巴细胞病理变化:增多:1病毒2慢性感染(结核)3肾移植后4白血病5再障、粒细胞缺乏症减少:放射线、激素、化脓性感染(淋巴细胞绝对值正常)异形(型)淋巴细胞临床意义增多:病毒感染传染性单(个)核细胞增多症:异形(型)淋巴细胞>10%异形(型)淋巴细胞异形(型)淋巴细胞空泡型不规则型幼稚型异形(型)淋巴细胞单核细胞的临床意义占...

1、当您付费下载文档后,您只拥有了使用权限,并不意味着购买了版权,文档只能用于自身使用,不得用于其他商业用途(如 [转卖]进行直接盈利或[编辑后售卖]进行间接盈利)。
2、本站所有内容均由合作方或网友上传,本站不对文档的完整性、权威性及其观点立场正确性做任何保证或承诺!文档内容仅供研究参考,付费前请自行鉴别。
3、如文档内容存在违规,或者侵犯商业秘密、侵犯著作权等,请点击“违规举报”。

碎片内容

蜗牛文库的最新文档

二年级数学下册其中检测卷二年级数学下册其中检测卷附答案#期中测试卷.pdf
10.00金币
0下载
二年级数学下册期末质检卷(苏教版)二年级数学下册期末质检卷(苏教版)#期末复习 #期末测试卷 #二年级数学 #二年级数学下册#关注我持续更新小学知识.pdf
10.00金币
0下载
二年级数学下册期末混合运算专项练习二年级数学下册期末混合运算专项练习#二年级#二年级数学下册#关注我持续更新小学知识 #知识分享 #家长收藏孩子受益.pdf
10.00金币
1下载
二年级数学下册年月日三类周期问题解题方法二年级数学下册年月日三类周期问题解题方法#二年级#二年级数学下册#知识分享 #关注我持续更新小学知识 #家长收藏孩子受益.pdf
10.00金币
0下载
二年级数学下册解决问题专项训练二年级数学下册解决问题专项训练#专项训练#解决问题#二年级#二年级数学下册#知识分享.pdf
10.00金币
1下载
二年级数学下册还原问题二年级数学下册还原问题#二年级#二年级数学#关注我持续更新小学知识 #知识分享 #家长收藏孩子受益.pdf
10.00金币
1下载
二年级数学下册第六单元考试卷家长打印出来给孩子测试测试争取拿到高分!#小学二年级试卷分享 #二年级第六单考试数学 #第六单考试#二年级数学下册.pdf
10.00金币
0下载
二年级数学下册必背顺口溜口诀汇总二年级数学下册必背顺口溜口诀汇总#二年级#二年级数学下册 #知识分享 #家长收藏孩子受益 #关注我持续更新小学知识.pdf
10.00金币
0下载
二年级数学下册《重点难点思维题》两大问题解决技巧和方法巧算星期几解决周期问题还原问题强化思维训练老师精心整理家长可以打印出来给孩子练习#家长收藏孩子受益 #学霸秘籍 #思维训练 #二年级 #知识点总结.pdf
10.00金币
0下载
二年级数学下册 必背公式大全寒假提前背一背开学更轻松#二年级 #二年级数学 #二年级数学下册 #寒假充电计划 #公式.pdf
10.00金币
0下载
蜗牛文库+ 关注
实名认证
内容提供者

提供各种专业文档内容

确认删除?
QQ
  • QQ点击这里给我发消息
微信客服
  • 微信客服
回到顶部