电脑桌面
添加蜗牛文库到电脑桌面
安装后可以在桌面快捷访问

血液病真菌感染(王椿).pptVIP免费

血液病真菌感染(王椿).ppt血液病真菌感染(王椿).ppt血液病真菌感染(王椿).ppt血液病真菌感染(王椿).ppt血液病真菌感染(王椿).ppt
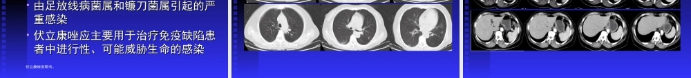
血液病患者真菌感染的经验治疗上海交通大学附属第一人民医院血液科上海交通大学附属第一人民医院血液科王椿王椿真菌感染逐渐增多真菌感染逐渐增多•诊断技术提高诊断技术提高•广谱抗生素的应用广谱抗生素的应用•患者年龄增高患者年龄增高•更多、更复杂的医疗干预措施更多、更复杂的医疗干预措施((如移植等如移植等))•高强度细胞毒性治疗的应用高强度细胞毒性治疗的应用•免疫抑制治疗的应用免疫抑制治疗的应用•其他病因死亡率的下降其他病因死亡率的下降系统性真菌感染的病原学主要致病菌为:主要致病菌为:念珠菌念珠菌((内源性条件致病菌内源性条件致病菌))曲霉菌曲霉菌((广泛存在于自然界和人体广泛存在于自然界和人体内内))隐球菌隐球菌((外源性致病菌外源性致病菌))组织胞浆菌组织胞浆菌侵袭性真菌感染的死亡率:美国真菌的感染死亡率逐年上升,90年之后,感染死亡有下降的趋势,与诊断措施的改进,和早期预防使用抗真菌药物有关。真菌感染率念珠菌白色念珠菌念珠菌病内脏真菌病中发病率最高内脏真菌病中发病率最高肺念珠菌病肺念珠菌病多继发其他呼吸道疾病,原发者少见。多继发其他呼吸道疾病,原发者少见。消化道念珠菌病消化道念珠菌病主要见于食道念珠菌病及念珠菌性肠炎主要见于食道念珠菌病及念珠菌性肠炎血性播散性念珠菌病血性播散性念珠菌病念珠菌经皮肤、肺部及肠道感染病灶侵入血念珠菌经皮肤、肺部及肠道感染病灶侵入血行行引起全身性系统性念珠菌病。引起全身性系统性念珠菌病。各种念珠菌感染所占的比例其他念珠菌1%热带念珠菌17%平滑念珠菌15%近平滑念珠菌9%克柔念珠菌4%白色念珠菌54%曲霉菌烟曲霉黄曲霉血液病患者真菌感染危险因素主要取决于三个因素的相互作用:主要取决于三个因素的相互作用:功能功能//解剖异常的存在,削弱了皮解剖异常的存在,削弱了皮肤黏膜对感染的屏障功能;肤黏膜对感染的屏障功能;过多地与潜在的真菌病原体接触;过多地与潜在的真菌病原体接触;免疫抑制状态。免疫抑制状态。功能/解剖异常的主要原因用于采血标本和输液的中心静脉插管的放置用于采血标本和输液的中心静脉插管的放置和化疗后黏膜炎,这两者都为念珠菌进入体和化疗后黏膜炎,这两者都为念珠菌进入体内提供了入口。内提供了入口。严重的皮肤损伤(如水的浸泡性损伤、血管严重的皮肤损伤(如水的浸泡性损伤、血管插管不当引起有害化学物质外渗到软组织而插管不当引起有害化学物质外渗到软组织...

1、当您付费下载文档后,您只拥有了使用权限,并不意味着购买了版权,文档只能用于自身使用,不得用于其他商业用途(如 [转卖]进行直接盈利或[编辑后售卖]进行间接盈利)。
2、本站所有内容均由合作方或网友上传,本站不对文档的完整性、权威性及其观点立场正确性做任何保证或承诺!文档内容仅供研究参考,付费前请自行鉴别。
3、如文档内容存在违规,或者侵犯商业秘密、侵犯著作权等,请点击“违规举报”。

碎片内容

蜗牛文库的最新文档

二年级数学下册其中检测卷二年级数学下册其中检测卷附答案#期中测试卷.pdf
10.00金币
0下载
二年级数学下册期末质检卷(苏教版)二年级数学下册期末质检卷(苏教版)#期末复习 #期末测试卷 #二年级数学 #二年级数学下册#关注我持续更新小学知识.pdf
10.00金币
0下载
二年级数学下册期末混合运算专项练习二年级数学下册期末混合运算专项练习#二年级#二年级数学下册#关注我持续更新小学知识 #知识分享 #家长收藏孩子受益.pdf
10.00金币
1下载
二年级数学下册年月日三类周期问题解题方法二年级数学下册年月日三类周期问题解题方法#二年级#二年级数学下册#知识分享 #关注我持续更新小学知识 #家长收藏孩子受益.pdf
10.00金币
0下载
二年级数学下册解决问题专项训练二年级数学下册解决问题专项训练#专项训练#解决问题#二年级#二年级数学下册#知识分享.pdf
10.00金币
1下载
二年级数学下册还原问题二年级数学下册还原问题#二年级#二年级数学#关注我持续更新小学知识 #知识分享 #家长收藏孩子受益.pdf
10.00金币
1下载
二年级数学下册第六单元考试卷家长打印出来给孩子测试测试争取拿到高分!#小学二年级试卷分享 #二年级第六单考试数学 #第六单考试#二年级数学下册.pdf
10.00金币
0下载
二年级数学下册必背顺口溜口诀汇总二年级数学下册必背顺口溜口诀汇总#二年级#二年级数学下册 #知识分享 #家长收藏孩子受益 #关注我持续更新小学知识.pdf
10.00金币
0下载
二年级数学下册《重点难点思维题》两大问题解决技巧和方法巧算星期几解决周期问题还原问题强化思维训练老师精心整理家长可以打印出来给孩子练习#家长收藏孩子受益 #学霸秘籍 #思维训练 #二年级 #知识点总结.pdf
10.00金币
0下载
二年级数学下册 必背公式大全寒假提前背一背开学更轻松#二年级 #二年级数学 #二年级数学下册 #寒假充电计划 #公式.pdf
10.00金币
0下载
蜗牛文库+ 关注
实名认证
内容提供者

提供各种专业文档内容

确认删除?
QQ
  • QQ点击这里给我发消息
微信客服
  • 微信客服
回到顶部