电脑桌面
添加蜗牛文库到电脑桌面
安装后可以在桌面快捷访问

血液-组织胚胎学.pptVIP免费

血液-组织胚胎学.ppt血液-组织胚胎学.ppt血液-组织胚胎学.ppt血液-组织胚胎学.ppt血液-组织胚胎学.ppt
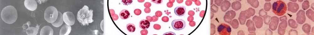
血液、淋巴和血细胞的发生结缔组织(四)赤峰市医院戴纪男组成:1、血浆:血浆相当于细胞外基质,PH7.3~7.4,主要成分是水(90%),其余为血浆蛋白(白蛋白、球蛋白、纤维蛋白原等)、脂蛋白、酶、激素、维生素、无机盐和各种代谢产物。22、、血细胞:血细胞:红细胞男(4.0~5.5)x1012/L女(3.5~5.0)x1012/L白细胞(4.0~10)x109/L中性粒细胞50%~70%嗜酸性粒细胞0.5%~3%白细胞嗜碱性粒细胞0%~1%单核细胞3%~8%淋巴细胞25%~30%血小板(100~300)x109/L(一)红细胞形态大小:成熟红细胞呈双凹圆盘状,中间染色浅,周围染色深,无细胞核,无细胞器,胞质内充满血红蛋白。•成分:血红蛋白(Hb)•男:120~150g/L•女;110~140g/L(二)白细胞1、中性粒细胞:•细胞核:分叶,2~5叶(2~3叶多见),分叶越多,细胞越老。•细胞质:①嗜天青颗粒:消化吞噬细菌和异物②特殊颗粒:溶解细菌表面的糖蛋白,杀死细菌。•功能:有变形和吞噬功能,吞噬细菌后其自身也坏死,成为脓细胞。2、嗜嗜酸粒细胞酸性粒细胞:嗜酸22、嗜酸性粒细胞粒核分2叶,胞质含粗大的嗜酸性颗粒,含有各种酶,如组胺酶、芳基硫酸脂酶和阳离子蛋白等。与抗过敏和抗寄生虫作用有关。3、嗜碱性粒细胞:核不规则,常被颗粒遮盖。胞质中有大小不等的嗜碱性颗粒,颗粒内含肝素、组胺、嗜酸性粒细胞趋化因子等;细胞基质内有白三烯。功能与肥大细胞相似。4、淋巴细胞:核圆形、染色深;胞质少,深蓝色;•种类:分大、中、小淋巴细胞3种;•免疫学分类:分T细胞、B细胞、自然杀伤(NK)细胞3种。5、单核细胞:白细胞中体积最大的细胞;核肾形或马蹄形,核染色浅,偏于细胞一侧;胞质灰蓝色,有嗜天青颗粒(即溶酶体);为巨噬细胞的前身。(三)血小板呈双凸的扁盘状,常伸出突起,不规则,成群分布无细胞核,有细胞器;中央为颗粒区,周边为透明区。血小板的凝血机制特殊颗粒:血小板因子IV、血小板源性生长因子、凝血酶敏感蛋白致密颗粒:5-羟色胺、ADP、ATP、钙离子、肾上腺素。二、骨髓和血细胞发生:((一)骨髓的结构一)骨髓的结构红骨髓:婴幼儿期红骨髓:婴幼儿期黄骨髓:黄骨髓:55岁以后,红→黄,为脂肪组织。岁以后,红→黄,为脂肪组织。成人各占一半成人各占一半1.1.造血组织:主要由网状组织和造血细胞组成。造血组织:主要由网状组织和造血细胞组成。基质细胞:包括网状细胞、成纤维细胞、血窦内基质细胞:包括网状细胞、成纤维细胞、血窦内皮细胞和巨嗜细胞等。皮细胞和巨...

1、当您付费下载文档后,您只拥有了使用权限,并不意味着购买了版权,文档只能用于自身使用,不得用于其他商业用途(如 [转卖]进行直接盈利或[编辑后售卖]进行间接盈利)。
2、本站所有内容均由合作方或网友上传,本站不对文档的完整性、权威性及其观点立场正确性做任何保证或承诺!文档内容仅供研究参考,付费前请自行鉴别。
3、如文档内容存在违规,或者侵犯商业秘密、侵犯著作权等,请点击“违规举报”。

碎片内容

蜗牛文库的最新文档

二年级数学下册其中检测卷二年级数学下册其中检测卷附答案#期中测试卷.pdf
10.00金币
0下载
二年级数学下册期末质检卷(苏教版)二年级数学下册期末质检卷(苏教版)#期末复习 #期末测试卷 #二年级数学 #二年级数学下册#关注我持续更新小学知识.pdf
10.00金币
0下载
二年级数学下册期末混合运算专项练习二年级数学下册期末混合运算专项练习#二年级#二年级数学下册#关注我持续更新小学知识 #知识分享 #家长收藏孩子受益.pdf
10.00金币
1下载
二年级数学下册年月日三类周期问题解题方法二年级数学下册年月日三类周期问题解题方法#二年级#二年级数学下册#知识分享 #关注我持续更新小学知识 #家长收藏孩子受益.pdf
10.00金币
0下载
二年级数学下册解决问题专项训练二年级数学下册解决问题专项训练#专项训练#解决问题#二年级#二年级数学下册#知识分享.pdf
10.00金币
1下载
二年级数学下册还原问题二年级数学下册还原问题#二年级#二年级数学#关注我持续更新小学知识 #知识分享 #家长收藏孩子受益.pdf
10.00金币
1下载
二年级数学下册第六单元考试卷家长打印出来给孩子测试测试争取拿到高分!#小学二年级试卷分享 #二年级第六单考试数学 #第六单考试#二年级数学下册.pdf
10.00金币
0下载
二年级数学下册必背顺口溜口诀汇总二年级数学下册必背顺口溜口诀汇总#二年级#二年级数学下册 #知识分享 #家长收藏孩子受益 #关注我持续更新小学知识.pdf
10.00金币
0下载
二年级数学下册《重点难点思维题》两大问题解决技巧和方法巧算星期几解决周期问题还原问题强化思维训练老师精心整理家长可以打印出来给孩子练习#家长收藏孩子受益 #学霸秘籍 #思维训练 #二年级 #知识点总结.pdf
10.00金币
0下载
二年级数学下册 必背公式大全寒假提前背一背开学更轻松#二年级 #二年级数学 #二年级数学下册 #寒假充电计划 #公式.pdf
10.00金币
0下载
蜗牛文库+ 关注
实名认证
内容提供者

提供各种专业文档内容

确认删除?
QQ
  • QQ点击这里给我发消息
微信客服
  • 微信客服
回到顶部