电脑桌面
添加蜗牛文库到电脑桌面
安装后可以在桌面快捷访问

如何读懂胸部CT.pptVIP免费

如何读懂胸部CT.ppt如何读懂胸部CT.ppt如何读懂胸部CT.ppt如何读懂胸部CT.ppt如何读懂胸部CT.ppt
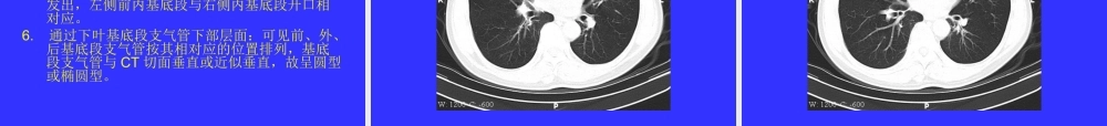
如何阅读胸部CT片一、胸部CT技术参数应用胸部CT扫描一般取仰卧位,于憋气状态下进行扫描,常规从肺尖扫至肋膈角。胸部由含气的肺组织、软组织及骨骼组成,观察这些不同密度的组织需选择不同的窗宽与窗位,一般观察纵膈和胸部软组织窗宽为400~500HU,窗位为0~50HU,观察肺,窗宽为1000~2000HU,窗位为-600~-800HU。连续横断面扫描可以重建成冠状位、矢状位及三维重建,这对于观察复杂解剖部位有极大的帮助,图像重建的质量取决于横断面扫描的厚度,层厚越薄,间隔越小,图像质量越好。•二、造影剂增强扫描•胸部含有大量气体,病灶一般为软组织,与含气的肺组织有较大的密度差异。纵膈内有丰富的低密度脂肪,故纵膈内解剖结构很清楚,一般不做造影增强,但以下情况需做增强扫描:1.病人消瘦,纵膈内缺乏脂肪;2.有血管畸形及血管病变;3.鉴别纵膈的淋巴结核与恶性肿瘤;4.明确肺和纵膈肿瘤对血管是否侵犯以及受侵程度;5.观察病变的增强特点,对炎症、良性肿瘤及恶性肿瘤作出鉴别。注射造影剂方法以一次大剂量静脉注射效果最佳。扫描方法为在常规扫描基础上确定重点扫描区。•三、正常纵膈解剖•选出具有代表性的层面加以分析,并以层面中具有特征性的解剖结构命名。1.胸骨切迹或胸锁关节层面:该层面可见到三对血管排列在气管两侧,靠前、靠外是一对左右头臂静脉,靠后是一对锁骨下动脉,紧贴气管两侧为左右颈总动脉。2.主动脉弓上层面:此层面可见五支血管影,左右头臂静脉,头臂干,左颈总动脉,左锁骨下动脉。右头臂干左食管右颈总动脉左颈总动脉右锁骨下动脉左锁骨下动脉3.主动脉弓层面:主动脉弓自右前向左后斜行,老年人由于动脉硬化,主动脉弓可不呈水平走行,此层面可见胸腺,呈三角形,尖端指向前。4.主肺动脉窗层面:上界为主动脉弓下缘,下界为左肺动脉,前方为升主动脉,后方为气管,在同一层面,升主动脉总是大于降主动脉。5.左肺动脉层面:为主肺动脉窗下界,主肺动脉后延伸为左肺动脉。6.主肺动脉与右肺动脉层面:右肺动脉从主肺动脉发出向后、向右延伸,位于腔静脉后方、中间段支气管前方,右肺动脉管径不超过25mm,肺动脉主干不超过29mm。7.左心房层面:左心房前方为主动脉根部和右心耳,后方为食道、奇静脉、降主动脉。8.四腔心层面:此层面可见右心房、室,左心房、室,心腔与心壁不注射造影剂无法区别。9.纵膈内其它几个重要脏器,气管、食管(一般壁厚不超过3mm)、胸腺(位于血管前间隙,分左右两叶,于幼儿时期较大,以后...

1、当您付费下载文档后,您只拥有了使用权限,并不意味着购买了版权,文档只能用于自身使用,不得用于其他商业用途(如 [转卖]进行直接盈利或[编辑后售卖]进行间接盈利)。
2、本站所有内容均由合作方或网友上传,本站不对文档的完整性、权威性及其观点立场正确性做任何保证或承诺!文档内容仅供研究参考,付费前请自行鉴别。
3、如文档内容存在违规,或者侵犯商业秘密、侵犯著作权等,请点击“违规举报”。

碎片内容

蜗牛文库的最新文档

二年级数学下册其中检测卷二年级数学下册其中检测卷附答案#期中测试卷.pdf
10.00金币
0下载
二年级数学下册期末质检卷(苏教版)二年级数学下册期末质检卷(苏教版)#期末复习 #期末测试卷 #二年级数学 #二年级数学下册#关注我持续更新小学知识.pdf
10.00金币
0下载
二年级数学下册期末混合运算专项练习二年级数学下册期末混合运算专项练习#二年级#二年级数学下册#关注我持续更新小学知识 #知识分享 #家长收藏孩子受益.pdf
10.00金币
1下载
二年级数学下册年月日三类周期问题解题方法二年级数学下册年月日三类周期问题解题方法#二年级#二年级数学下册#知识分享 #关注我持续更新小学知识 #家长收藏孩子受益.pdf
10.00金币
0下载
二年级数学下册解决问题专项训练二年级数学下册解决问题专项训练#专项训练#解决问题#二年级#二年级数学下册#知识分享.pdf
10.00金币
1下载
二年级数学下册还原问题二年级数学下册还原问题#二年级#二年级数学#关注我持续更新小学知识 #知识分享 #家长收藏孩子受益.pdf
10.00金币
1下载
二年级数学下册第六单元考试卷家长打印出来给孩子测试测试争取拿到高分!#小学二年级试卷分享 #二年级第六单考试数学 #第六单考试#二年级数学下册.pdf
10.00金币
0下载
二年级数学下册必背顺口溜口诀汇总二年级数学下册必背顺口溜口诀汇总#二年级#二年级数学下册 #知识分享 #家长收藏孩子受益 #关注我持续更新小学知识.pdf
10.00金币
0下载
二年级数学下册《重点难点思维题》两大问题解决技巧和方法巧算星期几解决周期问题还原问题强化思维训练老师精心整理家长可以打印出来给孩子练习#家长收藏孩子受益 #学霸秘籍 #思维训练 #二年级 #知识点总结.pdf
10.00金币
0下载
二年级数学下册 必背公式大全寒假提前背一背开学更轻松#二年级 #二年级数学 #二年级数学下册 #寒假充电计划 #公式.pdf
10.00金币
0下载
蜗牛文库+ 关注
实名认证
内容提供者

提供各种专业文档内容

确认删除?
QQ
  • QQ点击这里给我发消息
微信客服
  • 微信客服
回到顶部