电脑桌面
添加蜗牛文库到电脑桌面
安装后可以在桌面快捷访问

泌尿系统超声检查.pptVIP免费

泌尿系统超声检查.ppt泌尿系统超声检查.ppt泌尿系统超声检查.ppt泌尿系统超声检查.ppt泌尿系统超声检查.ppt
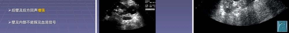
泌尿系统超声检查泌尿系统超声检查泌尿系统超声检查泌尿系统超声检查重庆医科大学第一附属医院超声科重庆医科大学第一附属医院超声科李玲李玲重庆医科大学第一附属医院超声科重庆医科大学第一附属医院超声科李玲李玲肾脏解剖概要肾脏解剖概要肾门肾窦实质皮质髓质输尿管肾脏正常声像图肾脏正常声像图包膜包膜::光滑的光滑的线状强回声线状强回声实质实质::肾周边的中低回声肾周边的中低回声窦区窦区::肾中心光点粗大的高回声肾中心光点粗大的高回声长100~120mm宽50~60mm厚30~40mm肾脏常见病超声表现肾脏常见病超声表现肾脏常见病超声表现肾脏常见病超声表现肾积水(肾积水(nephrohydrosis)nephrohydrosis)病理病理::肾积水是指因尿路梗阻而引起的肾盂和肾积水是指因尿路梗阻而引起的肾盂和//或肾盏扩张或肾盏扩张临床表现临床表现:慢性肾积水多表现为患侧腰部胀痛,:慢性肾积水多表现为患侧腰部胀痛,急性肾积水常表现为患侧腰部或下腹部剧烈绞急性肾积水常表现为患侧腰部或下腹部剧烈绞痛伴血尿痛伴血尿超声表现超声表现肾窦肾窦光点光点分离分离,为大小及形态不一的,为大小及形态不一的无回声占据无回声占据彩色多普勒显像:彩色多普勒显像:无回声内不能探及血流信号无回声内不能探及血流信号重度积水时常有肾脏增大,肾实质变薄重度积水时常有肾脏增大,肾实质变薄可伴同侧输尿管积水可伴同侧输尿管积水肾结石(肾结石(nephrolith)nephrolith)临床表现临床表现:肾结石临床上多无症状,结石较多或伴肾:肾结石临床上多无症状,结石较多或伴肾积水时可有患侧腰部胀痛积水时可有患侧腰部胀痛超声表现超声表现::11、、肾窦区内肾窦区内一枚或多枚大小不等的一枚或多枚大小不等的强回声团强回声团,其后,其后伴有伴有声影声影22、可伴局限性肾积水、可伴局限性肾积水肾占位性病变肾占位性病变囊性囊性囊肿,多囊肾囊肿,多囊肾实性实性良性良性::错构瘤错构瘤恶性恶性::肾细胞癌,肾恶性淋巴瘤,肾母细胞瘤肾细胞癌,肾恶性淋巴瘤,肾母细胞瘤肾囊肿(肾囊肿(renalcyst)renalcyst)病理病理:发病机理不清,可能与老年退行性变有关,:发病机理不清,可能与老年退行性变有关,囊壁由具分泌功能的上皮细胞构成,内为澄清囊壁由具分泌功能的上皮细胞构成,内为澄清液体液体临床表现临床表现:多无临床症状,较大时可有患侧腰部:多无临床症状,较大时可有患侧腰部酸胀不适酸胀不适超声表现超声表现实质内实质内...

1、当您付费下载文档后,您只拥有了使用权限,并不意味着购买了版权,文档只能用于自身使用,不得用于其他商业用途(如 [转卖]进行直接盈利或[编辑后售卖]进行间接盈利)。
2、本站所有内容均由合作方或网友上传,本站不对文档的完整性、权威性及其观点立场正确性做任何保证或承诺!文档内容仅供研究参考,付费前请自行鉴别。
3、如文档内容存在违规,或者侵犯商业秘密、侵犯著作权等,请点击“违规举报”。

碎片内容

蜗牛文库的最新文档

二年级数学下册其中检测卷二年级数学下册其中检测卷附答案#期中测试卷.pdf
10.00金币
0下载
二年级数学下册期末质检卷(苏教版)二年级数学下册期末质检卷(苏教版)#期末复习 #期末测试卷 #二年级数学 #二年级数学下册#关注我持续更新小学知识.pdf
10.00金币
0下载
二年级数学下册期末混合运算专项练习二年级数学下册期末混合运算专项练习#二年级#二年级数学下册#关注我持续更新小学知识 #知识分享 #家长收藏孩子受益.pdf
10.00金币
1下载
二年级数学下册年月日三类周期问题解题方法二年级数学下册年月日三类周期问题解题方法#二年级#二年级数学下册#知识分享 #关注我持续更新小学知识 #家长收藏孩子受益.pdf
10.00金币
0下载
二年级数学下册解决问题专项训练二年级数学下册解决问题专项训练#专项训练#解决问题#二年级#二年级数学下册#知识分享.pdf
10.00金币
1下载
二年级数学下册还原问题二年级数学下册还原问题#二年级#二年级数学#关注我持续更新小学知识 #知识分享 #家长收藏孩子受益.pdf
10.00金币
1下载
二年级数学下册第六单元考试卷家长打印出来给孩子测试测试争取拿到高分!#小学二年级试卷分享 #二年级第六单考试数学 #第六单考试#二年级数学下册.pdf
10.00金币
0下载
二年级数学下册必背顺口溜口诀汇总二年级数学下册必背顺口溜口诀汇总#二年级#二年级数学下册 #知识分享 #家长收藏孩子受益 #关注我持续更新小学知识.pdf
10.00金币
0下载
二年级数学下册《重点难点思维题》两大问题解决技巧和方法巧算星期几解决周期问题还原问题强化思维训练老师精心整理家长可以打印出来给孩子练习#家长收藏孩子受益 #学霸秘籍 #思维训练 #二年级 #知识点总结.pdf
10.00金币
0下载
二年级数学下册 必背公式大全寒假提前背一背开学更轻松#二年级 #二年级数学 #二年级数学下册 #寒假充电计划 #公式.pdf
10.00金币
0下载
蜗牛文库+ 关注
实名认证
内容提供者

提供各种专业文档内容

确认删除?
QQ
  • QQ点击这里给我发消息
微信客服
  • 微信客服
回到顶部